Il calvario di Lamela, a 34 anni gli impiantano una protesi all’anca: “Spero in una vita senza dolore”

Erik Lamela si è ritirato un anno fa a soli 33 anni a causa di un problema all'anca che gli rendeva difficoltose anche le attività quotidiane: l'allenamento era diventato un problema e le sue condizioni di salute non gli hanno permesso di finire la carriera così come aveva immaginato dopo tanti anni trascorsi ad alti livelli. L'argentino sta cercando di migliorare la sua vita e il primo passo è stato compiuto con un intervento all'anca che potrebbe aiutarlo a sentire meno dolore.
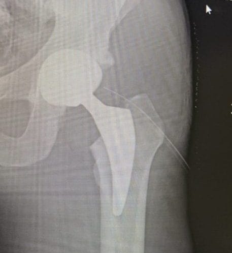
L'ex giocatore della Roma ha pubblicato sui social le immagini dall'ospedale, con tanto di radiografia dove si vede la una protesi metallica che dovrebbe aiutarlo da ora in avanti. "Spero che sia l'inizio di una vita senza dolore" scrive, un messaggio toccante per un calciatore che per tanto tempo ha dovuto condividere con il dolore cronico che gli ha impedito di giocare come voleva.
La nuova vita di Lamela dopo il ritiro
La scelta di dire addio al calcio a 33 anni è stata dettata dal problema cronico all'anca di cui tempo fa aveva parlato a TYC. Il suo racconto ha toccato il cuore dei tifosi: "Volevo concludere la mia carriera nel miglior modo possibile, godendomela al massimo nonostante questo problema, che è stato piuttosto difficile. Soffrivo di usura della cartilagine e di artrosi in stadio avanzato. Per cinque anni ho assunto pillole prima di ogni partita per poter giocare nelle migliori condizioni possibili, iniziando con la dose più bassa e arrivando recentemente ad assumere la dose massima due giorni prima della partita per essere pronto".

Ma da oggi Lamela è ottimista sul futuro perché si è sottoposto a un'operazione all'anca che potrebbe aiutarlo a vivere una vita normale, senza dover convivere con il dolore cronico. Lo ha annunciato sui social, felice per l'intervento che è andato a buon fine: "Un po' dolorante, ma con la mia nuova anca, spero che questa protesi sia l'inizio di una vita senza dolore". Negli ultimi anni della sua carriera ha giocato pochissimo a causa dei continui infortuni: tra Siviglia e Tottenham ha saltato oltre 200 partite, ma ora con l'operazione il spera di aver messo il peggio alle spalle.