Al pronto soccorso con tosse e dolore toracico, aveva cacciavite odontoiatrico incastrato in un bronco

Alle prese con tosse persistente e forte dolore toracico che non accennava a diminuire, una giovane donna calabrese si è presentata al pronto soccorso del Grande Ospedale Metropolitano di Reggio Calabria scoprendo che i malesseri erano causati da un cacciavite odontoiatrico incastrato in un bronco. Il singolare caso sanitario, avvenuto nelle scorse settimane, è stato reso noto oggi dalla stessa Direzione Generale de G.O. M. dove la donna è stata operata d’urgenza ristabilendosi completamente.
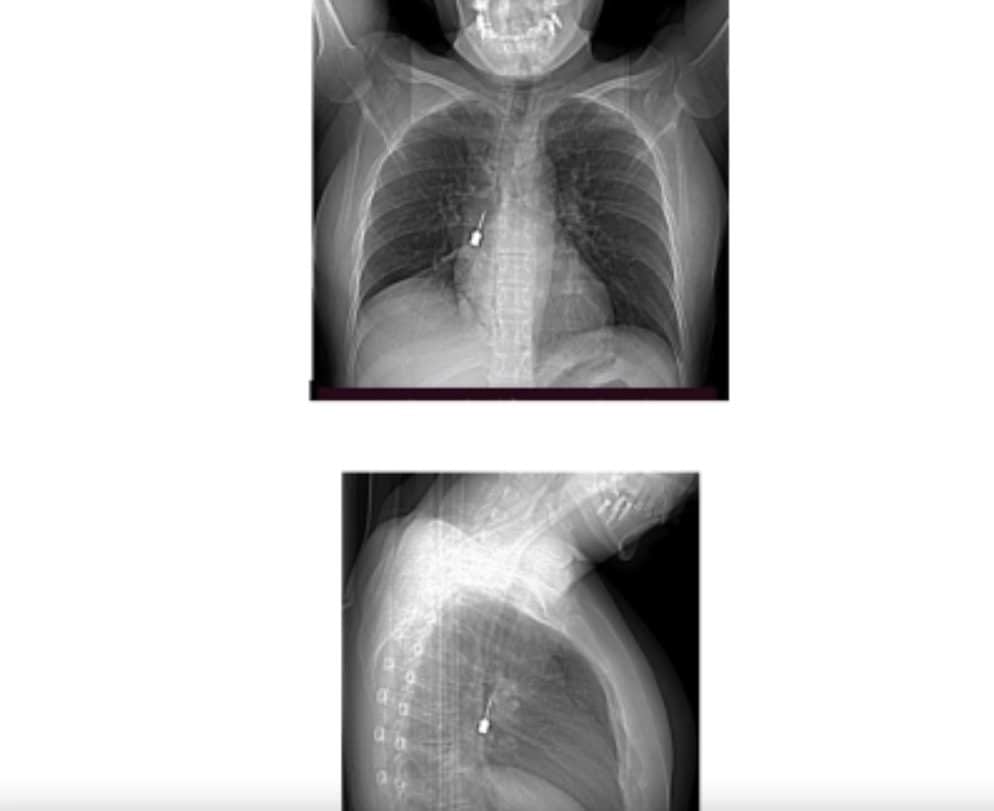
La giovane pare che da giorni soffrisse di tosse forte e dolori al torace che l’avevano spinta, su indicazione medica, a sottoporsi a una Tac. Dall’esame di diagnostica per immagini era emersa così la strana presenza di un corpo estraneo incastrato esattamente nel bronco destro. Con i risultati dell’esame di Tomografia Computerizzata alla mano, dunque, è stata accompagnata d’urgenza in pronto soccorso dove i medici, dopo aver visto le chiare immagini, hanno subito preso in carico la paziente ricoverandola immediatamente.
Come si vede dalle foto diffuse dallo stesso ospedale reggino, la Tac infatti mostrava chiaramente la presenza di un corpo estraneo metallico pericolosamente incastrato nel bronco lobare inferiore del polmone destro. Allo stesso tempo i medici si sono accorti anche di “un concomitante pneumomediastino” ossia la presenza di aria nello spazio compreso fra i due polmoni. Una situazione molto delicata e pericolosa che ha spinto i sanitari a disporre una immediata operazione chirurgica d’urgenza.

Gli specialisti hanno provveduto a una delicatissima procedura endoscopica effettuata dal Direttore dell’UOC di Chirurgia Toracica, il dottor Baldassare Mondello, insieme alla sua équipe medica e agli anestesisti. L’intervento è perfettamente riuscito con l’estrazione per via broncoscopica del corpo estraneo. Si è scoperto così che si trattava di un piccolissimo cacciavite odontoiatrico che in qualche modo era stato accidentalmente inalato dalla giovane paziente.
Dopo l’intervento, la donna è rimasta ricoverata per alcuni giorni nel reparto di Terapia Intensiva Post Operatoria sotto stretta osservazione medica. Il decorso post operatorio però è stato regolare e la paziente è stata infine dimessa in ottime condizioni.