Va in ospedale per febbre e dolori, ma scopre di avere 3 reni: il raro caso clinico

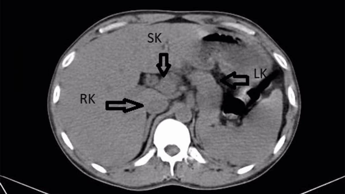
Una visita in ospedale si è trasformata in una scoperta del tutto inaspettata per un 41enne dello Stato indiano del Maharashtra. L’uomo si era presentato al pronto soccorso con febbre alta da alcuni giorni, dolori nella parte bassa della schiena e bruciore durante la minzione. Sintomi che avevano fatto pensare subito a un’infezione delle vie urinarie. Gli esami avevano però rivelato qualcosa di molto diverso. Una TC dell’addome aveva mostrato una condizione estremamente rara: l’uomo non aveva due reni, ma tre. Il rene in più non era separato, ma risultava fuso al destro, con una conformazione “a ferro di cavallo” come spiegato dai medici del Jawaharlal Nehru Medical College di Wardha che hanno descritto il caso in un report pubblicato sulla rivista Cureus.
Durante gli accertamenti, era stata confermata anche l’infezione urinaria, causata dal batterio Klebsiella pneumoniae, insieme alla presenza di calcoli e segni di infiammazione. “Dopo aver considerato tutti gli esami, al paziente è stato diagnosticato un rene soprannumerario con malformazione a ferro di cavallo, calcoli renali bilaterali, pielonefrite e danno renale acuto” riportavano i medici. “È stata quindi avviata una terapia antibiotica, oltre a una terapia di supporto e un’adeguata idratazione” in attesa delle decisioni terapeutiche più opportune.
Cos’è il “terzo rene” e quanto è raro
Il cosiddetto “terzo rene”, in medicina definito rene soprannumerario, è una malformazione congenita molto rara, che può derivare da una divisione anomala delle strutture embrionali da cui si sviluppa l’apparato urinario.
Si tratta, a tutti gli effetti, di un rene in più, con una propria struttura, anche se non sempre funziona in modo indipendente. Nel caso descritto, la configurazione era tuttavia insolita: il rene in più era fuso al destro, con forma a ferro di cavallo.
Come precisato dai medici del Jawaharlal Nehru Medical College di Wardha, “la presenza di un rene extra è un’anomalia congenita, con meno di cento casi segnalati a livello globale” mentre un terzo rene con una struttura a ferro di cavallo è “riportato molto raramente, con un’incidenza sconosciuta”. Ad oggi, in letteratura, sono stati descritti solo altri cinque casi di questo tipo.
Solitamente, il rene in più non provoca sintomi e può restare a lungo inosservato. Tuttavia, la sua forma anomala può favorire problemi, come infezioni o la formazione di calcoli.
Il caso dell’uomo con tre reni
Come indicato dai medici, i sintomi dell’uomo erano legati alle complicazioni, non alla presenza del terzo rene. L’infezione urinaria era infatti associata alla presenza di calcoli renali e a un’infiammazione dei reni, più evidente su uno dei lati, dove i calcoli coinvolgevano anche l’uretere, il canale che collega il rene alla vescica.
Dopo la prima fase di terapia antibiotica, i medici avevano quindi optato per l’inserimento di uno stent ureterale, per facilitare il drenaggio dell’urina, rimandando la rimozione dei calcoli a un secondo momento, una volta risolta l’infezione.
Pochi giorni dopo la terapia, le condizioni del paziente erano migliorate e l’uomo era stato dimesso, con indicazione a un controllo dopo un mese per la rimozione dello stent e la gestione dei calcoli renali.